Vitamin C Deficiency Mouth Ulcers . mouth ulcers are painful and typically small lesions that develop in your mouth or at the base of your gums. A vitamin deficiency, such as iron, zinc, folic acid, vitamin b or vitamin d. Most canker sores are minor and clear up on their own within two weeks. mouth sores, also called canker sores, are painful, white or yellow lesions inside the mouth. a deficiency in vitamin c can occur in individuals with severely limited dietary intake of fruits and vegetables.
from www.smileclinic.london
A vitamin deficiency, such as iron, zinc, folic acid, vitamin b or vitamin d. Most canker sores are minor and clear up on their own within two weeks. a deficiency in vitamin c can occur in individuals with severely limited dietary intake of fruits and vegetables. mouth sores, also called canker sores, are painful, white or yellow lesions inside the mouth. mouth ulcers are painful and typically small lesions that develop in your mouth or at the base of your gums.
Mouth Ulcers Treatment London Smile Clinic London
Vitamin C Deficiency Mouth Ulcers mouth sores, also called canker sores, are painful, white or yellow lesions inside the mouth. mouth sores, also called canker sores, are painful, white or yellow lesions inside the mouth. mouth ulcers are painful and typically small lesions that develop in your mouth or at the base of your gums. a deficiency in vitamin c can occur in individuals with severely limited dietary intake of fruits and vegetables. Most canker sores are minor and clear up on their own within two weeks. A vitamin deficiency, such as iron, zinc, folic acid, vitamin b or vitamin d.
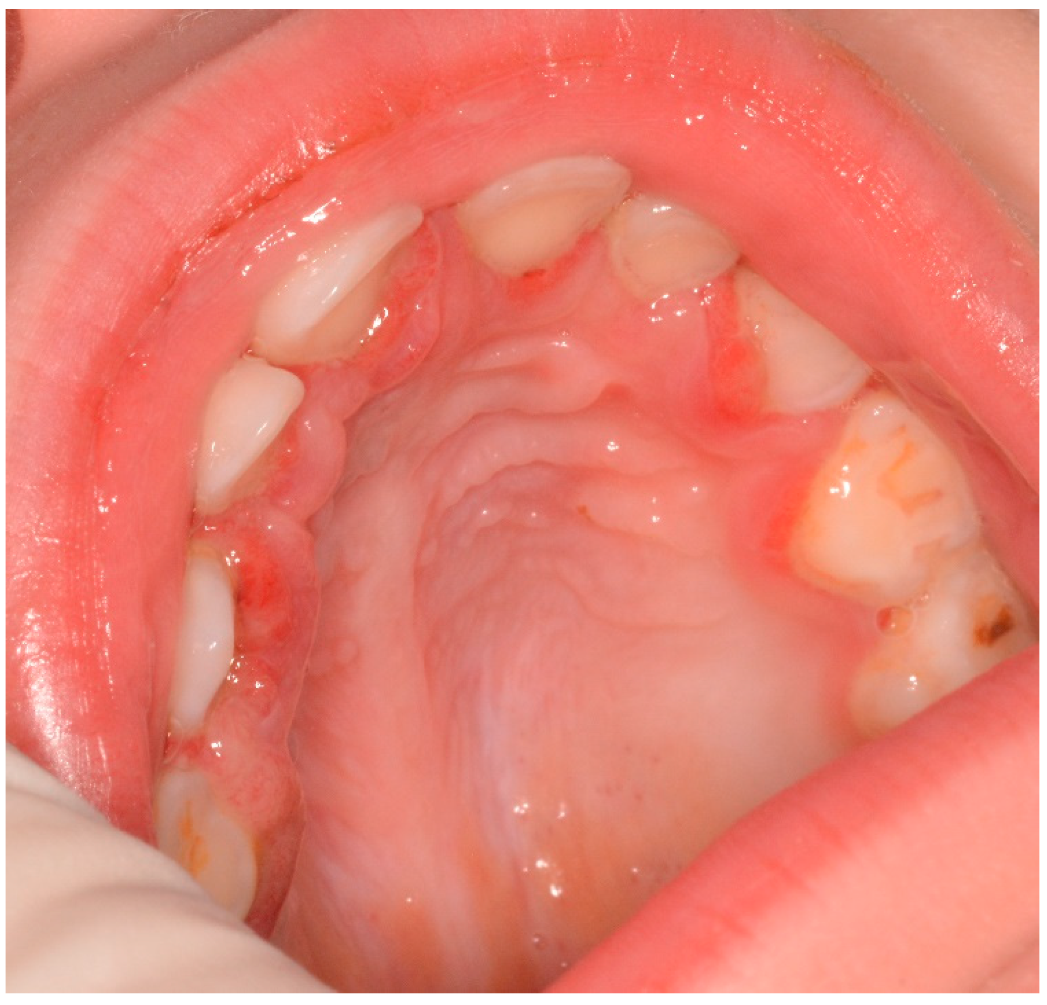
From www.mdpi.com
Applied Sciences Free FullText Oral Manifestations in Scurvy Vitamin C Deficiency Mouth Ulcers mouth sores, also called canker sores, are painful, white or yellow lesions inside the mouth. a deficiency in vitamin c can occur in individuals with severely limited dietary intake of fruits and vegetables. mouth ulcers are painful and typically small lesions that develop in your mouth or at the base of your gums. A vitamin deficiency, such. Vitamin C Deficiency Mouth Ulcers.
From dxogoluic.blob.core.windows.net
Vitamin Deficiency Cause Ulcers Mouth at Kathy McCray blog Vitamin C Deficiency Mouth Ulcers a deficiency in vitamin c can occur in individuals with severely limited dietary intake of fruits and vegetables. Most canker sores are minor and clear up on their own within two weeks. mouth sores, also called canker sores, are painful, white or yellow lesions inside the mouth. mouth ulcers are painful and typically small lesions that develop. Vitamin C Deficiency Mouth Ulcers.
From www.howitworksdaily.com
The Human Body What is a mouth ulcer? How It Works Vitamin C Deficiency Mouth Ulcers a deficiency in vitamin c can occur in individuals with severely limited dietary intake of fruits and vegetables. mouth sores, also called canker sores, are painful, white or yellow lesions inside the mouth. mouth ulcers are painful and typically small lesions that develop in your mouth or at the base of your gums. Most canker sores are. Vitamin C Deficiency Mouth Ulcers.
From dxogoluic.blob.core.windows.net
Vitamin Deficiency Cause Ulcers Mouth at Kathy McCray blog Vitamin C Deficiency Mouth Ulcers A vitamin deficiency, such as iron, zinc, folic acid, vitamin b or vitamin d. Most canker sores are minor and clear up on their own within two weeks. mouth ulcers are painful and typically small lesions that develop in your mouth or at the base of your gums. a deficiency in vitamin c can occur in individuals with. Vitamin C Deficiency Mouth Ulcers.
From www.nhs.uk
Mouth ulcers NHS Vitamin C Deficiency Mouth Ulcers mouth ulcers are painful and typically small lesions that develop in your mouth or at the base of your gums. A vitamin deficiency, such as iron, zinc, folic acid, vitamin b or vitamin d. Most canker sores are minor and clear up on their own within two weeks. mouth sores, also called canker sores, are painful, white or. Vitamin C Deficiency Mouth Ulcers.
From www.dpharmacy.ie
Mouth ulcers and Vitamin Deficiency Vitamin C Deficiency Mouth Ulcers Most canker sores are minor and clear up on their own within two weeks. mouth ulcers are painful and typically small lesions that develop in your mouth or at the base of your gums. a deficiency in vitamin c can occur in individuals with severely limited dietary intake of fruits and vegetables. mouth sores, also called canker. Vitamin C Deficiency Mouth Ulcers.
From healthjade.net
Oral mucositis definition, causes, symptoms, treatment guidelines Vitamin C Deficiency Mouth Ulcers A vitamin deficiency, such as iron, zinc, folic acid, vitamin b or vitamin d. mouth sores, also called canker sores, are painful, white or yellow lesions inside the mouth. Most canker sores are minor and clear up on their own within two weeks. mouth ulcers are painful and typically small lesions that develop in your mouth or at. Vitamin C Deficiency Mouth Ulcers.
From www.vdcure.com
Oral Ulcer (Mouth Sore) Causes, Symptoms, Danger Signs, Healthy Tips Vitamin C Deficiency Mouth Ulcers Most canker sores are minor and clear up on their own within two weeks. mouth ulcers are painful and typically small lesions that develop in your mouth or at the base of your gums. A vitamin deficiency, such as iron, zinc, folic acid, vitamin b or vitamin d. a deficiency in vitamin c can occur in individuals with. Vitamin C Deficiency Mouth Ulcers.
From vitaminwalls.blogspot.com
Vitamin C Tablets For Mouth Ulcer Vitamin C Deficiency Mouth Ulcers Most canker sores are minor and clear up on their own within two weeks. A vitamin deficiency, such as iron, zinc, folic acid, vitamin b or vitamin d. a deficiency in vitamin c can occur in individuals with severely limited dietary intake of fruits and vegetables. mouth ulcers are painful and typically small lesions that develop in your. Vitamin C Deficiency Mouth Ulcers.
From www.youtube.com
Doctor explains clinical signs of Vitamin B12 (cobalamin) deficiency Vitamin C Deficiency Mouth Ulcers mouth sores, also called canker sores, are painful, white or yellow lesions inside the mouth. Most canker sores are minor and clear up on their own within two weeks. a deficiency in vitamin c can occur in individuals with severely limited dietary intake of fruits and vegetables. mouth ulcers are painful and typically small lesions that develop. Vitamin C Deficiency Mouth Ulcers.
From www.youtube.com
What is the BEST VITAMIN for MOUTH ULCERS YouTube Vitamin C Deficiency Mouth Ulcers A vitamin deficiency, such as iron, zinc, folic acid, vitamin b or vitamin d. Most canker sores are minor and clear up on their own within two weeks. mouth sores, also called canker sores, are painful, white or yellow lesions inside the mouth. mouth ulcers are painful and typically small lesions that develop in your mouth or at. Vitamin C Deficiency Mouth Ulcers.
From curofy.com
Multiple small painful ulcers in oral cavity with slightly coated Vitamin C Deficiency Mouth Ulcers a deficiency in vitamin c can occur in individuals with severely limited dietary intake of fruits and vegetables. mouth sores, also called canker sores, are painful, white or yellow lesions inside the mouth. A vitamin deficiency, such as iron, zinc, folic acid, vitamin b or vitamin d. Most canker sores are minor and clear up on their own. Vitamin C Deficiency Mouth Ulcers.
From orasore.com
Orasore Mouth Ulcer Tablet Vitamin C Deficiency Mouth Ulcers mouth ulcers are painful and typically small lesions that develop in your mouth or at the base of your gums. mouth sores, also called canker sores, are painful, white or yellow lesions inside the mouth. Most canker sores are minor and clear up on their own within two weeks. a deficiency in vitamin c can occur in. Vitamin C Deficiency Mouth Ulcers.
From www.starhealth.in
Mouth Ulcer Types, Causes, and Remedies Vitamin C Deficiency Mouth Ulcers a deficiency in vitamin c can occur in individuals with severely limited dietary intake of fruits and vegetables. mouth sores, also called canker sores, are painful, white or yellow lesions inside the mouth. mouth ulcers are painful and typically small lesions that develop in your mouth or at the base of your gums. Most canker sores are. Vitamin C Deficiency Mouth Ulcers.
From www.sloandental.co.uk
How to cure mouth ulcers at home Sloan Dental Vitamin C Deficiency Mouth Ulcers a deficiency in vitamin c can occur in individuals with severely limited dietary intake of fruits and vegetables. mouth ulcers are painful and typically small lesions that develop in your mouth or at the base of your gums. A vitamin deficiency, such as iron, zinc, folic acid, vitamin b or vitamin d. mouth sores, also called canker. Vitamin C Deficiency Mouth Ulcers.
From www.cancertherapyadvisor.com
Vitamin C deficiency (Scurvy) Cancer Therapy Advisor Vitamin C Deficiency Mouth Ulcers a deficiency in vitamin c can occur in individuals with severely limited dietary intake of fruits and vegetables. mouth ulcers are painful and typically small lesions that develop in your mouth or at the base of your gums. mouth sores, also called canker sores, are painful, white or yellow lesions inside the mouth. A vitamin deficiency, such. Vitamin C Deficiency Mouth Ulcers.
From dentek-eu.com
Mouth ulcers causes and treatments Dentek Vitamin C Deficiency Mouth Ulcers mouth ulcers are painful and typically small lesions that develop in your mouth or at the base of your gums. Most canker sores are minor and clear up on their own within two weeks. a deficiency in vitamin c can occur in individuals with severely limited dietary intake of fruits and vegetables. A vitamin deficiency, such as iron,. Vitamin C Deficiency Mouth Ulcers.
From pngtree.com
Mouth Ulcer PNG Transparent, Mouth Ulcer Mouth Red Lips, Mouth Ulcer Vitamin C Deficiency Mouth Ulcers A vitamin deficiency, such as iron, zinc, folic acid, vitamin b or vitamin d. Most canker sores are minor and clear up on their own within two weeks. a deficiency in vitamin c can occur in individuals with severely limited dietary intake of fruits and vegetables. mouth sores, also called canker sores, are painful, white or yellow lesions. Vitamin C Deficiency Mouth Ulcers.